د. محمد مجلد 
لقد ظهر أول ما ظهر لرؤية وتكبير الصور Image والأشياء Objects المجاهر الضوئية Light Microscopes بأنواعها المختلفة البسيطة والمركبة لكن هذه الرؤية وذلك التكبير كان محدوداً مما أدى إلى البحث عن رؤية أوضح وتكبير غير محدود، فظهر ما يعرف بـالمجاهر الإلكترونية (EM) Electron Microscope
وذلك لأن رؤيــة الأشــياء بوضوح ومعرفة التفاصيل الدقيقة Fine details للصور والتي تعرف بمصطلح التباين أوقوة التباين Resolutio تعتمد على طول الموجات الضوئية المستخدمة للرؤية والتكبير وسط عوامل أخرى في جهاز المجهر.
ونستطيع أن نرى الأشياء باستخدام المجهر الضوئي الذي يستخدم الضوء light مصدراً له بقوة تكبير تصل لحد 1000 مرة تقريبا، وتغيب بعد هذه القوة من التكبير كل التفاصيل الدقيقة في الصورة، ويمكن رؤية أصغر مسافة بين نقطتين أوجسمين (قوة التباين) بهذا التكبير في حدود 0.3 ميكرون.
لكن الإلكترونات المستخدمة في المجهر الإلكتروني كمصدر للضوء والتي تتميز بأطوال موجات قصيرة تجعل قوة التباين بها كبيرة مما يجعلنا نستطيع أن نرى المسافات بين نقطتين تصل لحد إلى،...2. ميكرون (20 - 40 نانوميتر تقريبا)، لذلك كانت قوة التكبير يمكن أن تصل إلى نصف مليون مرة (500,000) وأكثر 
بهذه القوة التكبيرية العالية أمكن التعرف على محتويات الخلايا ومكوناتها (عضياتها) وأنويتها وتراكيبها الداخلية ومكونات أغشيتها المختلفة (أنظر شكل رقم 1).
شكل رقم (1) يبين التراكيب الدقيقة للخلايا ومحتوياتها المختلفة
ومن ثم أمكن باستخدام التقنيات المختلفة تحضير العينات Sample بمساعدة المثبتات Fixative والمواد الكيميائية المنظمة Buffer لمشاهدتها ودراستها تحت العدسات الكهرومغناطيسية بالرؤية والتكبير المطلوبين في المجهر الإلكتروني، ويمكن رؤية ودراسة طبوغرافية وأسطح الخلايا والكائنات الصغيرة والمواد المختلفة وتكوين صور ثلاثية الأبعاد لها كما في شكل رقم (2) باستخدام:
شكل رقم (2) يبين جزء من صورة مجهريه لسطح الخلايا
1.المجهر الإلكتروني الماسح (المساح)
Scanning Electron Microscope (SEM)
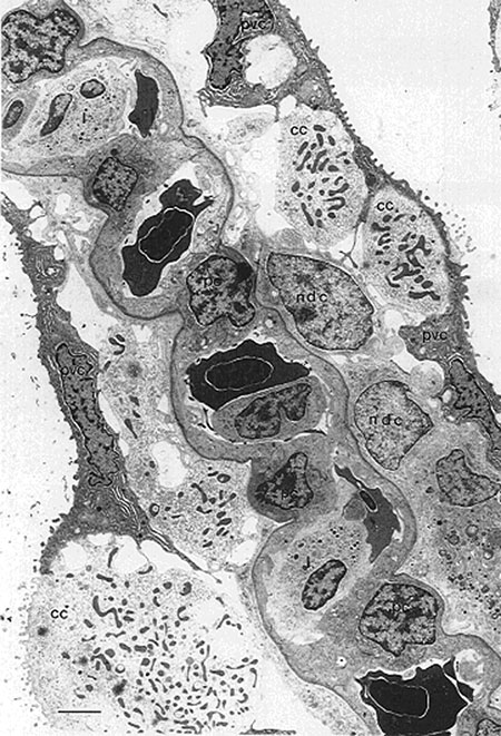
أما لرؤية الخلايا ومحتوياتها الداخلية وقطاعات الأنسجة المختلفة فيمكن ملاحظتها كما في شكل رقم (3) باستخدام :
شكل رقم (3) جزء من قطاع في صورة مجهريه يبين مكونات الخلايا والأنسجة
2. المجهر الإلكتروني النفاذ (النافذ)
Transmission Electron Microscope (TEM)
تطبيقات المجهر الإلكتروني الحديثة:
شكل رقم (4) يبن التحليل الكيميائي لمحتويات الخلايا باستخدام تقنية أشعة
غير أن استخدام المثبتات والمواد الكيميائية المختلفة في تقنية المجهر الإلكتروني قد تغير في كثير من طبيعة وشكل النسيج إضافة إلى ما فيها من سمية ويعيق الكشف عن محتويات النسيج
الكيميائية فظهر ما يعرف: 
1 - تقنية التبريد Cryo-technique (Freezing technique)
وهي دراسة العينات البيولوجية دون استخدام المثبتات أوأي مواد أخرى أواستخدام مواد كيميائية بسيطة، والهدف منها عدم تعريض العينات للمواد الكيميائية والمثبتات والحفاظ عليها ودراسة محتويات الأنسجة الكيميائية والبحث عن وجود مواد دخيلة Localization studies ومن ثم دراستها باستخدام المجهر الإلكتروني، ويستخدم فيها التقنيات التالية:
شكل رقم (5) يبين خريطة مجهريه تحليلية لبعض من عناصر الخلية 
أ - التثبيت بالتبريد المنخفض والسريع (- 200م) Cryo-fixation باستخدام جهاز الـ M.M.80 الذي يحوي سائل النيتروجين المبرد Liquid Nitrogen ومرآة معدنية Metal mirror
ب - باستخدام مثبتات بسيطة مثل البارافورمالدهايد
ج - التبريد البديل Cryo-substitution تحت درجة حرارة ــ 80 إلى ــ 50 م باستخدام جهاز الـ C.S. Auto ويتم تثبيت وطمر العينات داخل الجهاز
د - التقطيع الدقيق بالتبريد Cryo-ultramicrotomy في وسط سائل النيتروجين، ومن ثم تسخن العينة إلى درجة حرارة الغرفة وتدرس تحت المجهر باستخدام تقنية أشعة X الصادرة من جهاز المجهر الإلكتروني (X-Ray Microanalysis)
2 - التحليل الدقيق بأشعةْْْ EDAX (X-ray Microanalysi)
يتم في هذا التطبيق التعرف على مكونات الأنسجة والخلايا الطبيعية وغير الطبيعية كيميائيا، وله تطبيقات طبية وبيئية واسعة حيث يمكن من خلاله التعرف على المواد الكيميائية والملوثات البيئية وأملاح المعادن التي تصيب وتلوث الخلايا والأنسجة (Localization Studies of tissue elements)
3 - تقنية التحليل القياسي (المتري) للأنسجة Image Analysi
من خلال المجهر الإلكتروني مع الاستعانة بالدراسات الإحصائية المساعدة وبرامج الحاسب الآلي لدراسة أعداد ومساحات وأحجام وقياسات الأنسجة والخلايا وعضياتها.
جميع الصور في هذه المقالة خاصة بالباحث.



